Você conseguiria resolver este caso?

Por Brunno Câmara - segunda-feira, março 30, 2015

Antes de continuar a leitura do texto, quero te convidar para conhecer meus cursos:

Continue agora com a sua leitura do texto. Espero que goste.

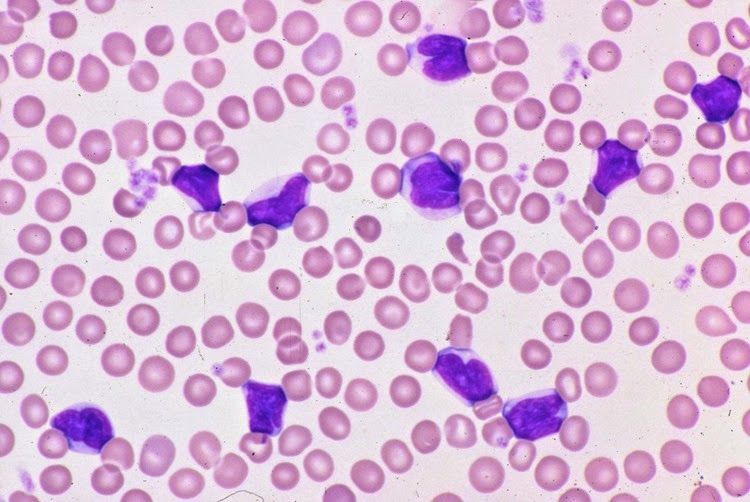
Paciente do sexo masculino, 06 anos, chega ao pronto socorro apresentando uma tosse intensa e incômoda há quatro semanas. Após fazer um hemograma, foi observado a lâmina do paciente, como você pode ver logo abaixo.

???

Pela sintomatologia e a distensão sanguínea, qual das seguintes opções você marcaria como causadora da doença?

A. Vírus Influenza
B. Streptococcus pharyngitis
C. Mycoplasma pneumoniae
D. Bordetella pertussis
E. Vírus sincicial respiratório

 

 

Desça para ver a resposta e explicação

 

 

 

A resposta correta é a letra D: Bordetella pertussis.

A bactéria B. pertussis causa a coqueluche, uma infecção que se manifesta na circulação sanguínea através de linfocitose. Os linfócitos são maduros, porém a maioria é atípico ou reativo, como na imagem acima.

Uma característica importante nesses linfócitos é o formato do núcleo, que apresenta uma fissura, indentação ou fenda, também chamado de núcleo lobulado.

núcleos lobulados

Toxina pertussis

A toxina pertussis é uma exotoxina, principal responsável pela tosse anormal. Ela também é responsável pela linfocitose às custas de linfócitos T. Além disso, causa hipoglicemia, aumento na síntese de IgE e aumento da sensibilidade à histamina e endotoxina. O organismo inibe muitas funções dos leucócitos, incluindo a quimiotaxia e a fagocitose.

Diagnóstico de coqueluche

O diagnóstico é feito através das manifestações clínicas e da cultura de aspirado nasofaríngeo. O meio de cultura utilizado é o Bordet-Gengou (ágar sangue com extrato de batata e glicerol + antibiótico).

Apesar de o diagnóstico ser feito pela cultura, guarde bem essas alterações linfocitárias, pois se um dia você se deparar com um caso desses, pode ser peça fundamental no diagnóstico rápido da coqueluche.

Leucemia Linfocítica Crônica (LLC)

Outra causa de linfocitose, com linfócitos maduros, é a LLC. Contudo, ela é frequente em adultos e idosos; os linfócitos são da linhagem B, predominantemente típicos, com tamanho pequeno, relação núcleo/citoplasma elevada, núcleo regular, cromatina condensada, ausência de nucléolos evidentes e citoplasma basofílico.

LLC
As manchas de gumprecht são linfócitos  que “estouram” quando realiza-se a distensão sanguínea, devido à fragilidade dessas células.

Mas para saber se os linfócitos são realmente da LLC, é necessário realizar a imunofenotipagem. As células são positivas para os marcadores de células B e também para CD5.

Com informações de www.pathologystudent.com e University of South Carolina School of Medicine

Brunno Câmara Autor

Brunno Câmara - Biomédico responsável técnico e gestor da qualidade no Laboratório Clínico do HC-UFG/Ebserh, CRBM-GO 5596, habilitado em patologia clínica e hematologia. Especialista em Hematologia e Hemoterapia pelo programa de Residência Multiprofissional do HC-UFG/Ebserh. Mestre em Biologia da Relação Parasito-Hospedeiro. Tutor da residência multiprofissional de Biomedicina do HC-UFG/Ebserh. Criador do blog Biomedicina Padrão.
| Contato: @biomedicinapadrao |